Cirugía del pie
Unidad de Cirugía Avanzada del Pie
Instituto del Pie Ilicitano es un centro médico especializado donde trabajan podólogos muy experimentados en el área de la cirugía y biomecánica.
Nuestra Unidad de Cirugía del Pie, se encuentra liderada por la Dra. Vicenta Martínez Córcoles, doctora en Podología con mención especial sobresaliente “cum laude”.
Directora del grupo de Clínicas “Vimar Salud”, CEO del Instituto del Pie Ilicitano, miembro del Comité Ético del Ilustre Colegio de Podólogos de la Comunidad Valenciana nº de Col 838463048, miembro de la Asociación Española de Cirugía Podológica, profesora en las facultades de Podología de la Universidad Miguel Hernández (UMH) y la Universidad Católica de Murcia San Antonio (UCAM).

Como cirujanos del pie, consideramos muy importante una exploración clínica, radiodiagnóstica y ecográfica adaptada a cada patología y otras herramientas, como el estudio biomecánico de la marcha, nos permiten realizar un diagnóstico diferenciado, punto de partida clave para elegir la mejor vía de abordaje en cada caso y, en muchas ocasiones, crucial para la detección temprana de afecciones más complejas.
Cirugía Mínimamente Invasiva o Percutánea como Cirugía Abierta del Pie. Utilizando las técnicas más vanguardistas y menos lesivas en cada acto quirúrgico, adaptándolas a la patología de cada paciente.
El tratamiento no termina con la intervención quirúrgica. Para nosotros, es muy importante el seguimiento de nuestros pacientes durante el postoperatorio, decisivo para el éxito de todo el proceso.
Patologías más habituales

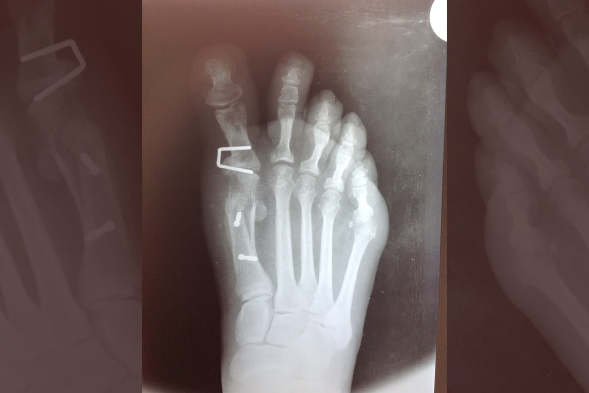
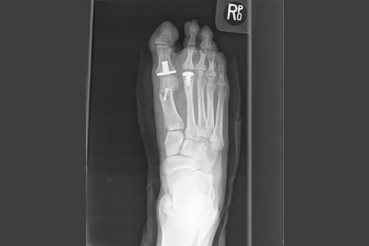
HALLUX VALGUS – JUANETE
El juanete, es el crecimiento irregular del hueso correspondiente al primer metatarsiano, que produce una desviación del primer dedo. En ocasiones, cursa con gran inflamación, provocando dolores en la zona y una mayor desviación del primer dedo. Este puede elevarse sobre el segundo y, secundariamente, provocar dolor en la planta del pie.

JUANETE DE SASTRE
El «juanete de sastre» conocido coloquialmente también como juanetillo es una patología similar al juanete del primer dedo pero que afecta al 5º dedo y metatarsiano. Igualmente se produce una desviación lateral del 5º metatarsiano evidenciándose un crecimiento excesivo e irregular del hueso y una desviación del 5º dedo hacia dentro.

DEDOS EN GARRA
Es una deformación de los dedos producida lenta y progresivamente que suele estar precedida o acompañada de una anomalía llamada Hallux Valgus (juanete). Deformación que suele provocarse en algunas ocasiones como consecuencia del uso de zapatos de talla más pequeña a la adecuada, pero también puede relacionarse como consecuencia de otras patologías.

ESPOLÓN CALCÁNEO
El espolón calcaneo es una calcificación o exóstosis, realmente es el resultado y no la causa de la fascitis plantar.
A la hora de clasificar ésta patología, podríamos decir que se trata de una entesopatía, es decir, un trastorno de la entesis (zona insercional de la fascia plantar en el calcáneo). En el caso de fascitis se trata de una inflamación de la fascia, pero cuando esta inflamación persiste más de 6 semanas pasa a ser considerada fasciosis plantar.

FASCITIS PLANTAR
La fascia plantar es una estructura de tejido conectivo denso ubicada en la cara plantar del pie, que cubre las estructuras musculares. En ocasiones esta estructura se inflama, y es entonces cuando aparece fascitis plantar. Cuando esta condición se cronifica, aparece el factor degenerativo y pasa a llamarse fasciosis.

NEUROMA DE MORTON
El neuroma de Morton, en realidad, no es un tumor, sino un engrosamiento del tejido que rodea el nervio digital que se extiende a los dedos del pie. Esto ocurre porque el nervio pasa por debajo del ligamento que se conecta con los huesos del dedo del pie (metatarsianos) en el antepié.

CIRUGÍA UNGUEAL
La intervención quirúrgica de la uña encarnada es un procedimiento que suele resultar bastante sencillo. Consiste primero en anestesiar el dedo que vamos a intervenir y extirparemos el trozo de uña del canal afectado, procederemos a legrar la matriz (raíz) asegurándonos así que no volverá a crecer y cubriremos con un apósito y vendaje compresivo el dedo intervenido.

METATARSALGIA
El Hiperapoyo metatarsal o metatarsalgia consiste en una afección dolorosa del metatarso, la región del antepié situada entre el tarso y las falanges de los pies. El metatarso está constituido por los huesos metatarsianos y es uno de los puntos del pie sobre los que se apoya el peso del cuerpo al caminar o correr, coincidiendo con la flexión dorsal del mismo.

ENFERMEDAD DE FREIBERG
Es una osteocondrosis que afecta principalmente al segundo metatarsiano. Forma parte de las patologías que originan metatarsalgia y que establecer el diagnóstico puede ser difícil en las etapas iniciales. El diagnóstico es radiológico, encontrándose osteoesclerosis en etapas tempranas y osteolisis en etapas más avanzadas, llegando a la destrucción progresiva de la cabeza del metatarsiano con lo que se observa una cabeza con bordes irregulares y aplanada.
Tipos de Cirugía Ungueal
En Clínica Vimar Salud planteamos la cirugía del pie tras haber agotado siempre todo el abanico de tratamientos conservadores que disponemos.
Nuestro protocolo comienza por realizar a nuestros pacientes una minuciosa historia clínica en la valoración de cada caso, (analítica de sangre y valoración circulatoria) así como puede ser necesario realizarle alguna radiografía.
La intervención quirúrgica de la uña encarnada es un procedimiento que suele resultar bastante sencillo. Consiste primero en anestesiar el dedo que vamos a intervenir y extirparemos el trozo de uña del canal afectado, procederemos a legrar la matriz (raíz) asegurándonos así que no volverá a crecer y cubriremos con un apósito y vendaje compresivo el dedo intervenido.
La elección de la técnica adecuada es fundamental para poder obtener los resultados deseados, variando en función de las necesidades particulares de cada paciente.

CIRUGÍA UNGUEAL
La cirugía de la uña puede ser de dos tipos: matricectomías totales o parciales, dependiendo de la afectación de la misma. Entre las más comunes son uñas encarnadas, hipertrofia de los rodetes que rodean la uña, uñas engrosadas o distróficas.
EXTRACCIÓN UNGUEAL ONICECTOMÍA
A través de este procedimiento realizamos una avulsión instrumentada parcial o total de la uña, en aquellos casos que requiera la recesión de la uña. En este supuesto de la fotografía, se requiere la extracción en su totalidad. (Uña traumatizada)
CIRUGÍA DE LAS PARTES BLANDAS
Realizamos este tipo de cirugía para llevar a cabo la extirpación y/o actuación sobre lesiones dérmicas y/o alteraciones de estructuras anatómicas, con la posterior reparación de los tejidos. Como es el caso de verrugas, quistes, fibromas periungueales, tumores glómicos, queloides, nevus, alargamientos de tendones.
CIRUGÍA DE EXÓSTOSIS
Entre los diferentes tipos de exóstosis destacamos: el síndrome de Haglund, espolones calcáneos, exóstosis digitales, helomas interdigitales, así como exóstosis subungueales.
